Wybrane metamorfozy

Pełnołukowa odbudowa na implantach - spektakularna zmiana funkcji i estetyki
Nowy uśmiech bez ortodoncji - kompleksowa odbudowa estetyczna i funkcjonalna
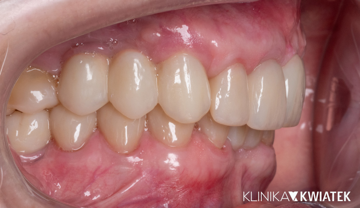
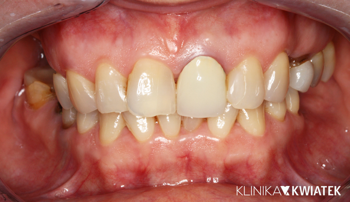
Kluczowy ząb, kluczowa zmiana - Estetyka premium - Re-endo i korona pełnoceramiczna zęba 11 w roli głównej
Kompleksowe leczenie implantologiczno-protetyczne - pełna odbudowa uśmiechu Pacjentki

Derzeit durchgeführte Studien

Vergleich der Behandlungsergebnisse mit Standardimplantation, Implantation mit Heilschraube, temporärer PMMA-Krone, temporärer Kompositkrone.
Periimplantitis - Behandlung nach KK-Standard - Verwendung von Airflow Prophylaxis Master, PRF-Membran, Wechsel des Verbindungsstücks auf Zirkonoxid
Vergleichende Untersuchung der Anwendung der Technik zur Wiederherstellung des gesamten Zahnkranzes mit 4 und 6 Implantaten und permanenter Ergänzung - Beobachtungen nach 1,2,3,4,5 Jahren

So sprechen unsere Patienten über uns

Haben Sie Fragen?
Möchten Sie einen Termin vereinbaren?
Rufen Sie uns an