Bildung und akademische Grade

2014 - 2018.
Spezialisierungstraining in zahnärztlicher Chirurgie Militärische Spezialärztliche Klinik SP ZOZ in Poznan
2007 - 2012
Zahnarzt Medizinische Universität Karol Marcinkowski in Posen

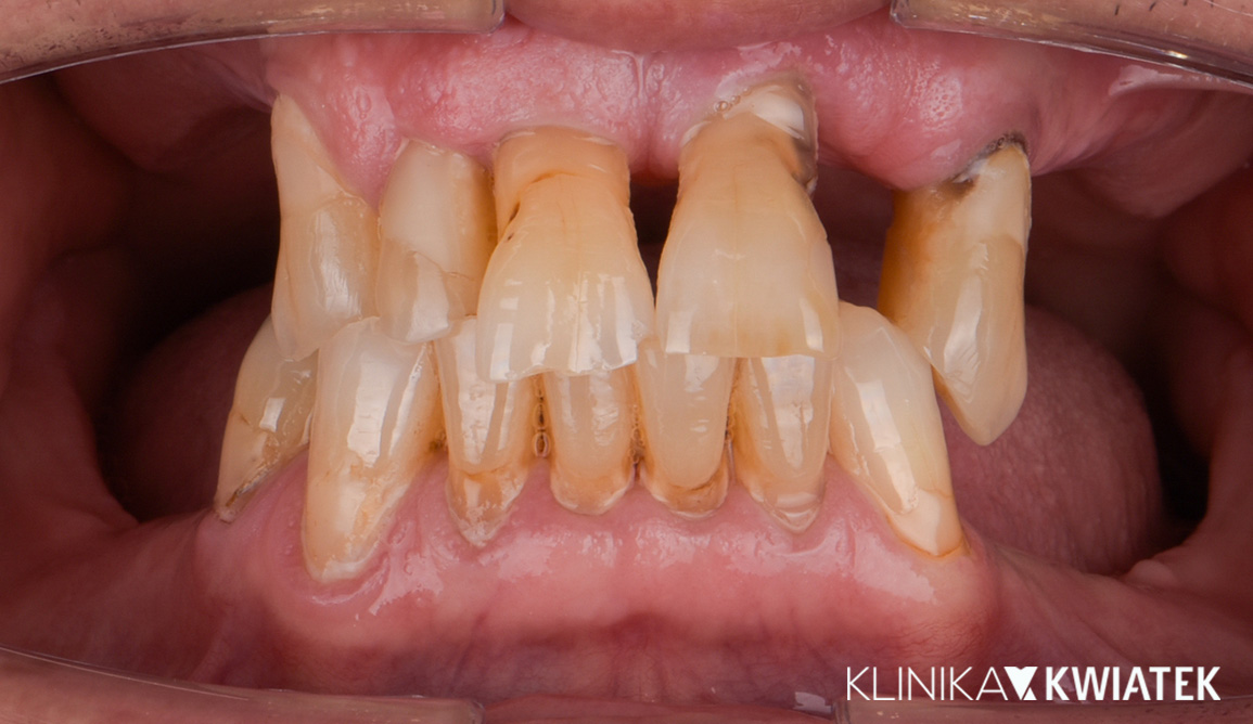
Wybrane metamorfozy

Nowość!
Metamorfoza, która zmienia wszystko - implanty, regeneracja i ortodontyczne dopracowanie detali
Rehabilitacja zgryzu i odbudowa braków - pełna ścieżka terapeutyczna Pacjenta
Od bezzębia do stabilnego uśmiechu - podparta implantami praca na belkach w szczęce i żuchwie
Kompleksowa przemiana: ortodoncja, protetyka i estetyka w jednej terapii

Konferenzen und wissenschaftliche Reisen

2022.
Jährlicher Kurs mit den fortschrittlichsten und innovativsten chirurgischen und implantologischen Techniken, die im Mundbereich angewendet werden. Der Kurs unter der Leitung des berühmtesten polnischen Chirurgen Radosław Jadach. Akademie für Mundchirurgie, Breslau
04 - 05.02.2022
"Eigenständige Gestaltung von Vorlagen mit Programmen zur vollständigen Planung von Implantationsbehandlungen und digitaler Bearbeitung von 3D-Modellen" Breslau
12.12.2021
"Strahlenschutz des Patienten" Wolsztyn
03.12.2021.
"Medizinische Notfallmaßnahmen in der Zahnarztpraxis" Breslau
04.09.2021.
"Laser - moderne Behandlung in der Praxis" Piaseczno
18. - 19.09.2020
"Management von Weichgewebe in der Implantatbehandlung" Prof. Małgorzata Pietruska Białystok
19.01.2020
"Notfälle in der Zahnarztpraxis. Regeln für die Erste Hilfe in der Zahnarztpraxis, intravenöser Zugang, Reanimationsmaßnahmen"
07.11.2019
"Biologische Knochenaugmentation - wo sind die Grenzen" Dr. Frank Zastrow Krakau
12. - 13.10.2019
Wissenschaftliche Konferenz Alpha Bio Polen Höchste Standards der modernen Implantologie Ilawa
19. - 21.09.2019
"Vorbereitung und Anwendung von plättchenreichem Plasma PRF" Kongress der Polnischen Zahnärztevereinigung Posen
08 - 09.03.2019
"Behandlungen zur Regeneration und Augmentation von hartem und weichem Gewebe, einschließlich Zugangstechniken" Posen
23.11.2018
"Zwischen Tradition und Innovation: Ästhetische und funktionale Herausforderungen bei der Planung und Durchführung von prothetischen Ergänzungen" Dr. Mauro Fradeani Jachranka
23.11.2018
"Stabilisierung von hartem und weichem Gewebe um das Implantat. Verfahren, Fehler, Komplikationen." Jachranka
16.02.2018
"Mikrochirurgische Wurzelspitzenresektion" Warschau
10.02.2018
"Digitale Zahnfotografie"
18.11.2017
"Digitale Implantologie, also ein Eingriff mit einem chirurgischen Schablone und sofortiger Belastung" Lodz
17.11.2017
"Ästhetische Misserfolge bei der Gestaltung von Weichgewebe um das Implantat: Prävention und Behandlung" Prof. Giovanni Zucchelli Jachranka
17.11.2017
"Verfahren zur Verarbeitung der eigenen Zähne des Patienten in Augmentat" Prof. Jose Luis Calvo Guirado Jachranka
02 - 03.06.2017
"Psychologie der Festlegung eines umfassenden Behandlungsplans mit dem Patienten" Posen
02.05.2017
Implantologische Konferenz Alpha Bio

Derzeit durchgeführte Studien

Langzeitbeobachtungen zur Wirksamkeit der Sinuslift-Operation mit hydrostatischem Druck und sofortiger Implantation.
Vergleich der Behandlungsergebnisse mit Standardimplantation, Implantation mit Heilschraube, temporärer PMMA-Krone, temporärer Kompositkrone.
Sofortige Implantation mit der "Socket Shield"-Technik - 3-jährige Beobachtungen, PINK-Score im 3-Jahres-Intervall
Panto Monitoring - cyfrowe wsparcie radiologicznej diagnostyki stomatologicznej oraz Get Smile - inteligentne planowanie leczenia stomatologicznego
Ocena wpływu stężenia 25-hydroksywitaminy D w surowicy na osteointegrację implantów zębowych
Kontrolle ausgewählter Parameter der Blutmorphologie bei zahnmedizinischen Patienten - als Moment der frühzeitigen Erkennung von systemischen Krankheiten, die eine Behandlung in den frühen Stadien der Krankheit ermöglichen.
Vergleich der Effektivität der Implantatplanung und der endgültigen Position des Implantats unter Verwendung einer chirurgischen Schablone
Nichtstandardmäßige Verwendung von chirurgischen Schablonen - für Resektionen, Implantatentfernungen, Sinuslifts
Knochenaufbau mit PTFE-Membranen, die mit einem Titan-Netz verstärkt und direkt am Implantat befestigt sind
Periimplantitis - Behandlung nach KK-Standard - Verwendung von Airflow Prophylaxis Master, PRF-Membran, Wechsel des Verbindungsstücks auf Zirkonoxid
Vergleichende Untersuchung der Anwendung der Technik zur Wiederherstellung des gesamten Zahnkranzes mit 4 und 6 Implantaten und permanenter Ergänzung - Beobachtungen nach 1,2,3,4,5 Jahren

So sprechen unsere Patienten über uns

Haben Sie Fragen?
Möchten Sie einen Termin vereinbaren?
Rufen Sie uns an