Bildung und akademische Grade

07.2018 - 10.2020
Doktoratsstudium, Doktor der Medizinwissenschaften Medizinische Universität Pommern in Stettin Titel der Doktorarbeit: "Bewertung des Einflusses des Serumspiegels von 25-Hydroxyvitamin D auf die Osteointegration von Zahnimplantaten"
10.2014 - 10.2016
Master of Science in Oral Implantologie Universität der Studien, Siena
10.2022 - 07.2008r
Zahnmedizin, Zahnarzt Medizinische Universität Karol Marcinkowski in Posen

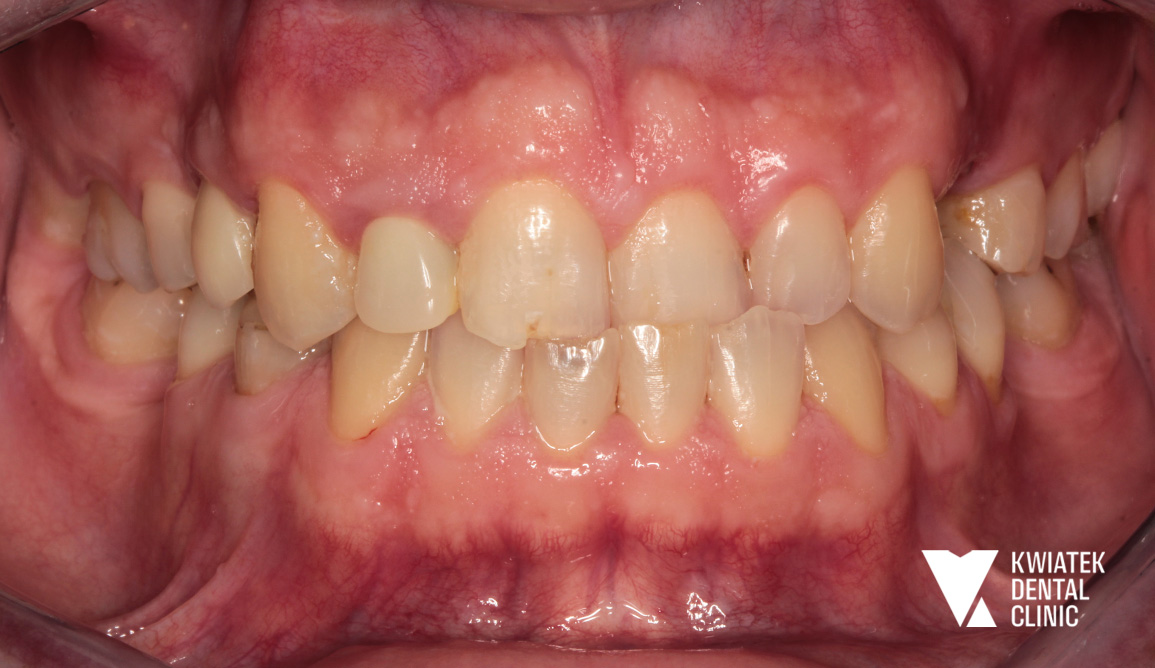
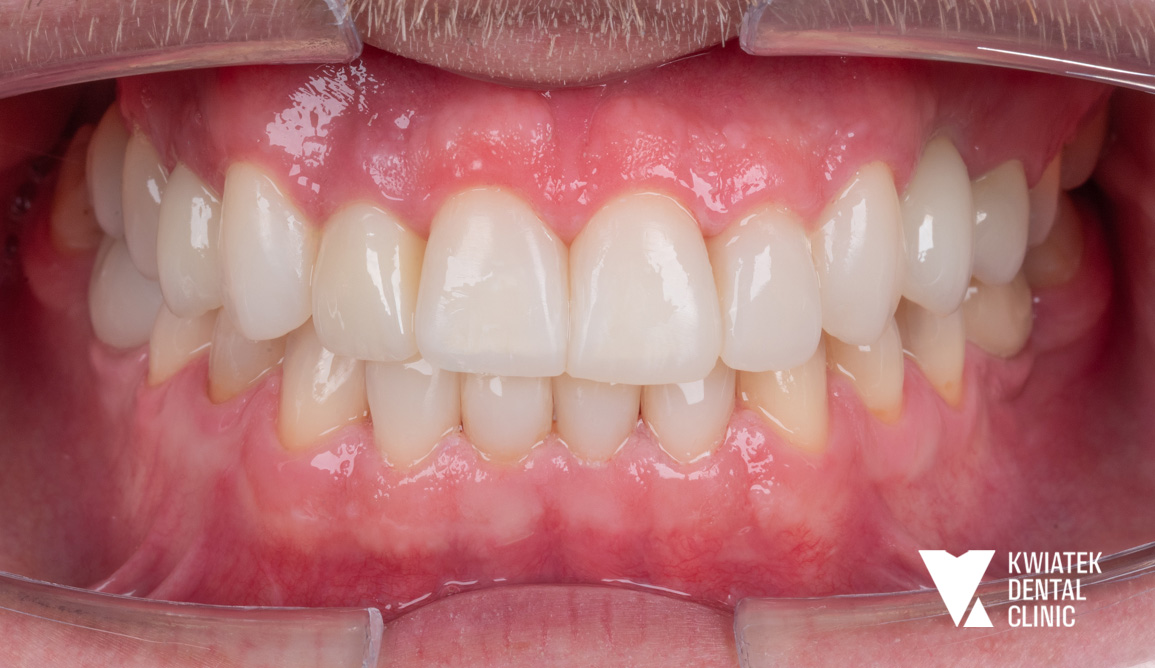
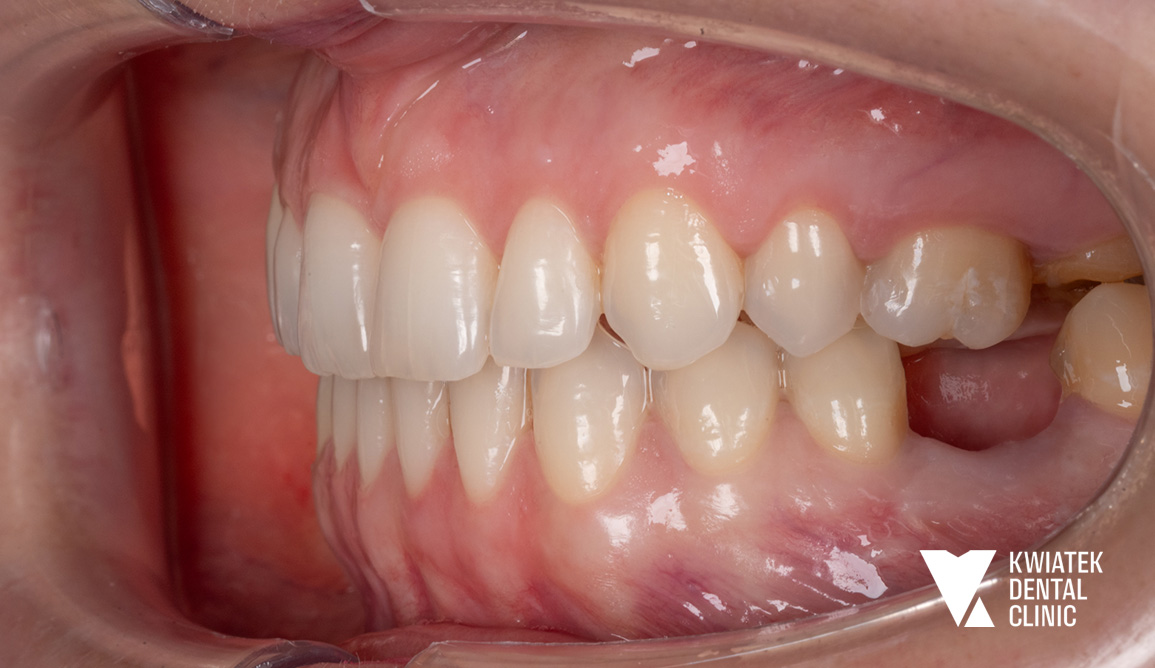
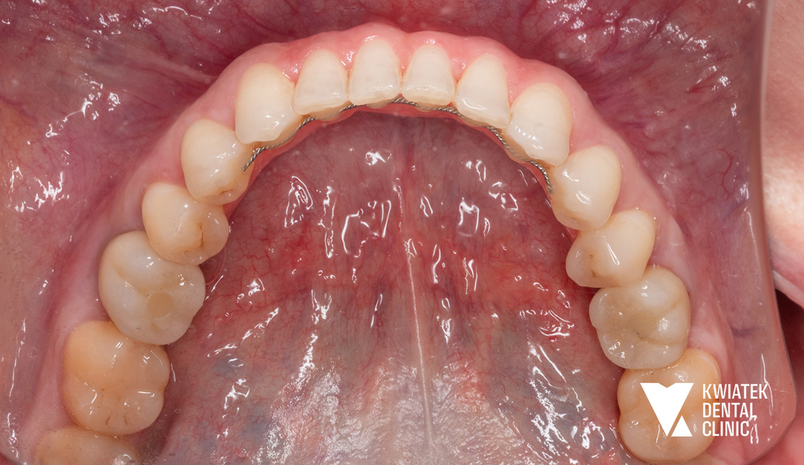
Wybrane metamorfozy

Nowość!
Nowy uśmiech. Nowy rozdział - od planu do perfekcji.
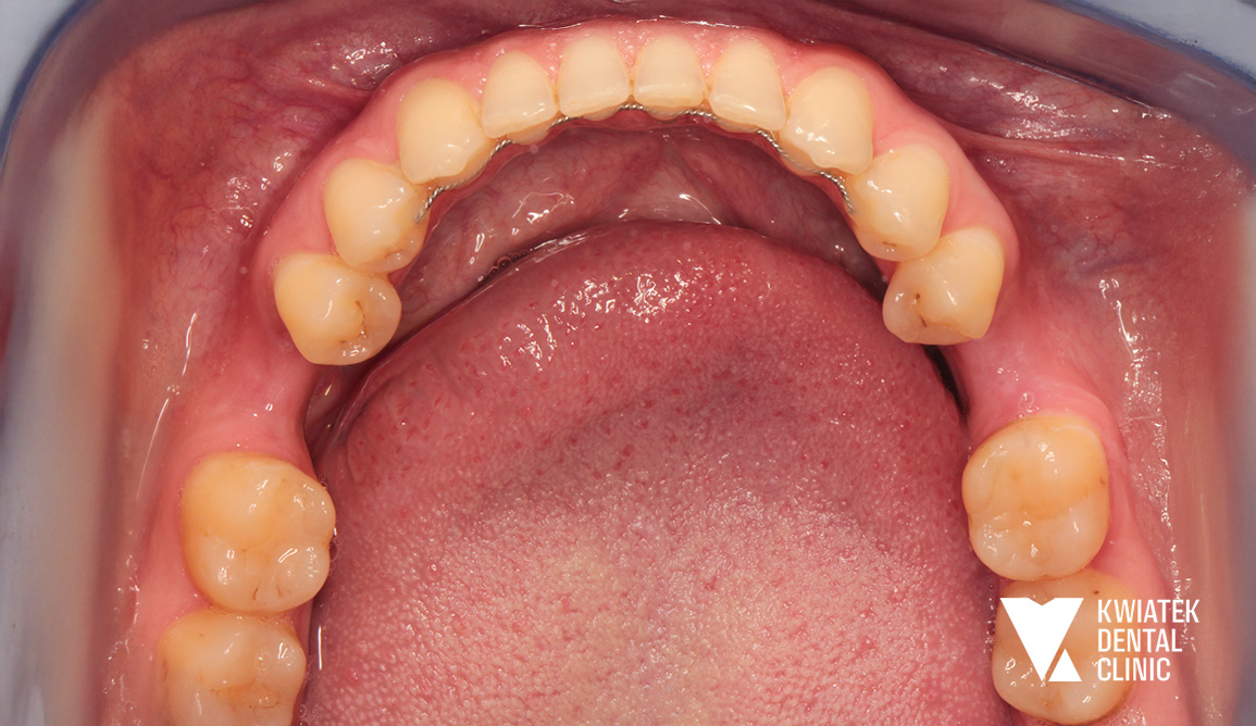
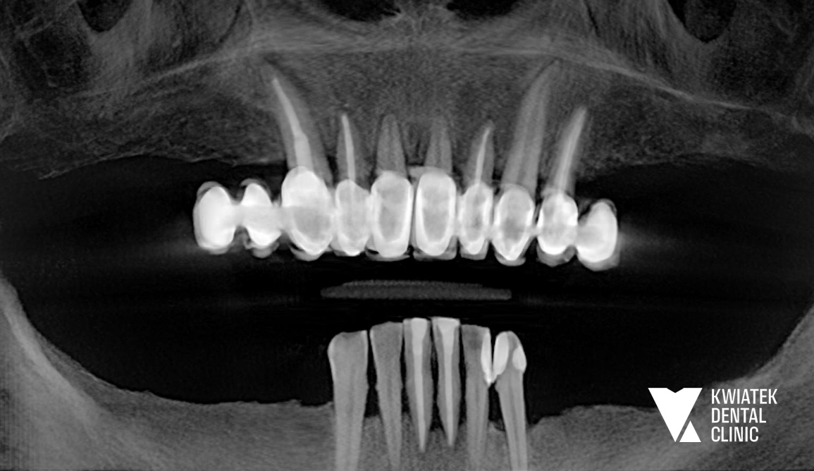
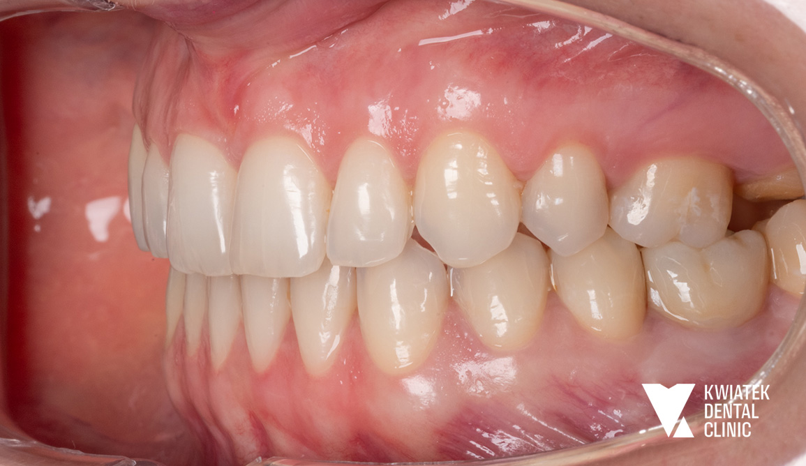
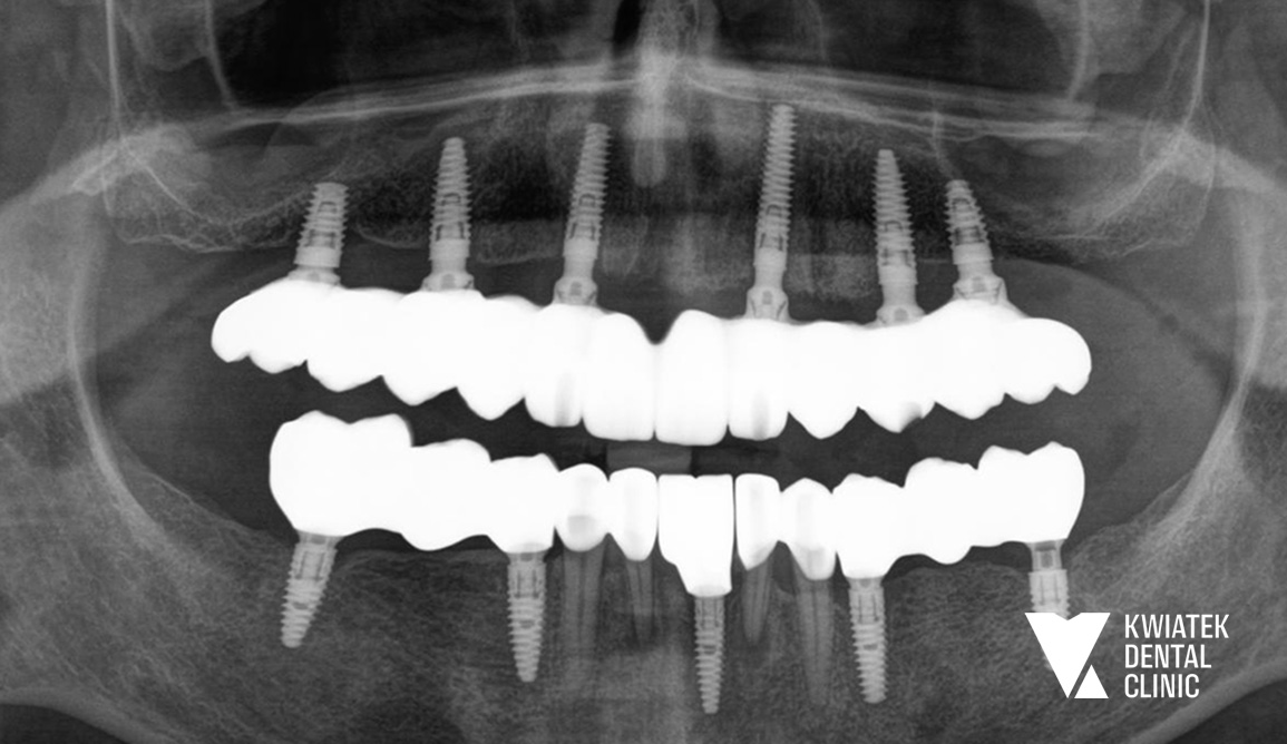
Zaawansowana rekonstrukcja zgryzu z wykorzystaniem implantów i chirurgii regeneracyjnej
Kiedy wcześniejsze leczenie zawiodło - MY zadbaliśmy o każdy detal
Totalna Rehabilitacja Uśmiechu - Precyzyjna Odbudowa Implantoprotetyczna

Wissenschaftliche Publikationen

"Implantatprothetische Behandlung nach traumatischem Zahnverlust - Fallbeschreibung."
Zahnmedizin nach dem Abschluss 05/2023
Verwendung digitaler Technologie in der Rehabilitation des stomatognathischen Systems an einem Tag.
Zahnimplantologie 2/2023
"Anwendung der Doppel-Schablonen-Technik zur Entfernung eines gebrochenen Implantats, sofortiger Implantation, gesteuerter Knochen- und Weichgeweberegeneration sowie gleichzeitiger Rekonstruktion mit temporären Cerec CAD/CAM-Kronen unter schwierigen klinischen Bedingungen"
Zahnimplantologie 01/22
"Angeborener Mangel an permanenten Zahnkeimen als Herausforderung der modernen Implantologie"
Zahnmedizin nach dem Abschluss 01/2022
"Einfluss der Konzentration von 25-Hydroxycholecalciferol im Blut und der Behandlung von Vitamin-D-Mangel auf Veränderungen des Knochenlevels am Implantationsort."
Kongress der Polnischen Gesellschaft für Mund-, Kiefer- und Gesichtschirurgie, Lublin, 16. - 18.09.2021.
"Anwendung der Socket Shield Technik bei der späten Implantation."
Kongress der Polnischen Gesellschaft für Zahn- und Kiefer-Gesichtschirurgie, Lublin, 16.-18.09.2021.
Einfluss der 25-Hydroxycholecalciferol-Konzentration und der Behandlung von Vitamin-D-Mangel auf Veränderungen im Knochenlevel an der Implantatstelle während des Osseointegrationsprozesses: Eine prospektive, randomisierte, kontrollierte klinische Studie
Journal of Clinical Medicine 10(3)/2021
Therapie von Periimplantitis in der klinischen Praxis des Zahnarztes und der Dentalhygienikerin
Zahnmedizin nach dem Abschluss 06/2021
Präoperative Labordiagnostik in der Praxis des oralchirurgischen Chirurgen
Zahnimplantologie 01/2021
Anwendung der Socket-Shield-Technik zur postextraktionalen Knochenregeneration und zur Erhaltung der Form und Struktur des Parodontiums im ästhetischen Bereich bei verzögerter Implantation - eine Fallstudie
Zahnimplantologie 06/2020
"Sofortige Implantation im ästhetischen Bereich unter Verwendung der Alveolarkammtechnik - eine Fallstudie."
Zahnmedizinisches Magazin 6/2018

Konferenzen und wissenschaftliche Reisen

04.11.2023
Multiforum Zahnmedizin 2023 - innovatives Online-Projekt
08.10.2022.
Kongress MIS Day Warschau
13. - 14.10.2022
Curriculum Prof. Marcus Hürzeler Danzig
30.05.2022
"Anwendung der Socket Shield Technik zusammen mit sofortiger navigierter Implantation und Wiederaufbau mit einer gefrästen Maryland-Brücke bei einem Patienten, der Leistungssport betreibt. 5-jährige Beobachtungen."
20.05.2022r.
MIS Forum 3 Posen
09.2021.
Internationaler Kongress Master of Oral Implantology MEET THE MASTER 6
10.2021.
Curriculum Prof. Marcus Hürzeler München
09.2021.
Implacore: Konzepte ohne Knochenverlust mit Prof. Tomas Linkevicius
06.2019.
Fortgeschrittene Implantologie - Schulung
03.2019.
Training Alpha Bio Polen
06.2017.
Internationaler PSI-Kongress Krakau
06.2017.
Kongress Europa & Lateinamerika International Madrid
01.2016.
ICX Magellan Training
03.2013.
Fortgeschrittene Implantologie-Chirurgie

Derzeit durchgeführte Studien

Bewertung der Auswirkungen der Verwendung von biokeramischen Dichtungsmitteln und Epoxidharz-basierten Dichtungsmitteln auf den Heilungsprozess pathologischer Veränderungen im periapikalen Bereich der Wurzelkanäle.
Opracowanie technologii i narzędzia do bezpiecznego i skutecznego pobierania próbek kostnych, nawiercania otworów w kości oraz pobierania materiału kostnego do badania histopatologicznego.
Angst- und Furchtniveau bei Patienten, die sich für zahnmedizinische Hygienebesuche melden
Naturalne i nanostrukturalne komponenty w produktach stomatologicznych – od koncepcji do zastosowań klinicznych
Celowana terapia periimplantitis. Izolacja materiału genetycznego bakterii w poszukiwaniu źródła zakażeń okołowszczepowych.
Skuteczność stomatologicznego oprogramowania AI w diagnozowaniu próchnicy: porównanie z wynikami badań stomatologicznych wykonanych przez lekarzy.
Langzeitbeobachtungen zur Wirksamkeit der Sinuslift-Operation mit hydrostatischem Druck und sofortiger Implantation.
Wrodzony brak zawiązków zębów stałych jako wyzwanie współczesnej implantologii
Vergleich der Behandlungsergebnisse mit Standardimplantation, Implantation mit Heilschraube, temporärer PMMA-Krone, temporärer Kompositkrone.
Sofortige Implantation mit der "Socket Shield"-Technik - 3-jährige Beobachtungen, PINK-Score im 3-Jahres-Intervall
Wsparcie leczenia implantologicznego i chirurgicznego z wykorzystaniem autorskiej aplikacji Klinika Kwiatek (Treat UP).
Panto Monitoring - cyfrowe wsparcie radiologicznej diagnostyki stomatologicznej oraz Get Smile - inteligentne planowanie leczenia stomatologicznego
Ocena wpływu stężenia 25-hydroksywitaminy D w surowicy na osteointegrację implantów zębowych
Przedoperacyjna diagnostyka laboratoryjna w praktyce chirurga stomatologicznego
Kontrolle ausgewählter Parameter der Blutmorphologie bei zahnmedizinischen Patienten - als Moment der frühzeitigen Erkennung von systemischen Krankheiten, die eine Behandlung in den frühen Stadien der Krankheit ermöglichen.
Vergleich der Effektivität der Implantatplanung und der endgültigen Position des Implantats unter Verwendung einer chirurgischen Schablone
Nichtstandardmäßige Verwendung von chirurgischen Schablonen - für Resektionen, Implantatentfernungen, Sinuslifts
Knochenaufbau mit PTFE-Membranen, die mit einem Titan-Netz verstärkt und direkt am Implantat befestigt sind
Periimplantitis - Behandlung nach KK-Standard - Verwendung von Airflow Prophylaxis Master, PRF-Membran, Wechsel des Verbindungsstücks auf Zirkonoxid
Vergleichende Untersuchung der Anwendung der Technik zur Wiederherstellung des gesamten Zahnkranzes mit 4 und 6 Implantaten und permanenter Ergänzung - Beobachtungen nach 1,2,3,4,5 Jahren
Azytromycyna i inne substancje aktywne w nowoczesnej stomatologii zabiegowej – opracowanie systemu miejscowego uwalniania leku wspomagającego gojenie i prewencję infekcji po zabiegach chirurgicznych, periodontologicznych i implantologicznych

Didaktische Tätigkeit

06.2021 und 10.2021.
MIS FORUM - Wissenschaftlicher Club Moderator des Expertenpanels
04.2021.
Didaktische Kurse für Studenten Abteilung für Zahnchirurgie der Medizinischen Universität Pommern in Stettin
12.2020.
Spezialisierungskurs für Zahnärzte, die sich auf das Gebiet der zahnärztlichen Chirurgie spezialisieren. "Implantologische Behandlung als Folge von kieferorthopädischen Komplikationen"

Preise und Auszeichnungen

Berater für das internationale Implantatsystem Alpha Bio
- Berater für das internationale Implantatsystem Alpha Bio
Hippokrates Großpolen I Platz
- Hippokrates Großpolen I Platz

In den Medien

Was erwartet die Zahnmedizin im Jahr 2021?

So sprechen unsere Patienten über uns

Haben Sie Fragen?
Möchten Sie einen Termin vereinbaren?
Rufen Sie uns an