Zastanawiasz się, jak wygląda wybielanie zębów przed i po?
W naszej Klinice wykonujemy wybielanie nakładkowe, łączone wybielanie zębów Philips Zoom oraz szybkie wybielanie BlancOne Click – to skuteczne i bezpieczne metody, które zapewniają szybkie, widoczne rezultaty


Nowość!
PRZED
PO
PRZED
PO

Zaufanie budowane latami tworzy historię uśmiechu Pana Rafała

Pan Rafał jest naszym Pacjentem od ponad 12 lat, a jego historia to przykład leczenia opartego na zaufaniu, konsekwencji i długofalowym podejściu do zdrowia. Zgłosił się z rozległymi problemami obejmującymi zniszczone zęby, braki oraz zaburzenia zgryzu, wymagające kompleksowego leczenia. Dzięki wieloetapowej terapii stworzyliśmy stabilny, funkcjonalny i estetyczny uśmiech, który jest efektem wspólnej pracy na przestrzeni lat.

PRZED
PO
PRZED
PO

Kobieca harmonia - naturalna metamorfoza pełna światła i finezji

Pani Hanna zgłosiła się z uśmiechem naznaczonym wieloletnimi wypełnieniami, przebytym leczeniem ortodontycznym oraz zaburzoną funkcją zgryzu. Po kompleksowej diagnostyce, starannym przygotowaniu tkanek i profesjonalnym wybielaniu wykonano precyzyjny remodeling zębów metodą flow injection, który przywrócił naturalne proporcje, świetlistość i harmonię łuków zębowych. Rezultatem jest metamorfoza subtelna, a zarazem wyraźnie odmieniająca wyraz twarzy, uśmiech jasny, elegancki i w pełni naturalny, podkreślający kobiecą delikatność oraz ponadczasową estetykę.

PRZED
PO
PRZED
PO

Uśmiech odzyskany – od kompleksowej terapii do naturalnego efektu!

Do naszej kliniki zgłosiła się Pacjentka, która w przeszłości była już leczona ortodontycznie. Mimo wcześniejszego leczenia wciąż zmagała się z brakiem górnej dwójki oraz przesuniętą linią pośrodkową, co wpływało zarówno na estetykę uśmiechu, jak i na prawidłową funkcję zgryzu.
Postawiliśmy na kompleksowe podejście – połączyliśmy leczenie ortodontyczne, implantologiczne oraz protetyczne. Dzięki temu udało się uzyskać harmonijny, pełen blasku uśmiech oraz prawidłowe warunki zgryzowe.
Efekt końcowy? Naturalna estetyka, piękny uśmiech i komfort, który daje Pacjentce pełną satysfakcję.

PRZED
PO
PRZED
PO

Licówki, implanty i cyfrowy projekt - precyzyjna odbudowa przy braku zawiązków zębów

Pani Ania zgłosiła się do naszej kliniki z wrodzonym brakiem zawiązków siekaczy bocznych, który od lat wpływał na proporcje uśmiechu i pewność siebie. Po utracie dotychczasowej pracy tymczasowej podjęła decyzję o trwałej metamorfozie. Zastosowano leczenie implantologiczne, cyfrowy projekt uśmiechu (DSD), koronę na implancie, licówki, zabiegi periodontologiczne oraz odbudowy w pełni cyfrowym protokole. Efekt? Naturalny, harmonijny uśmiech, który wydobył jej urodę i realnie zmienił jakość życia.

PRZED
PO
PRZED
PO

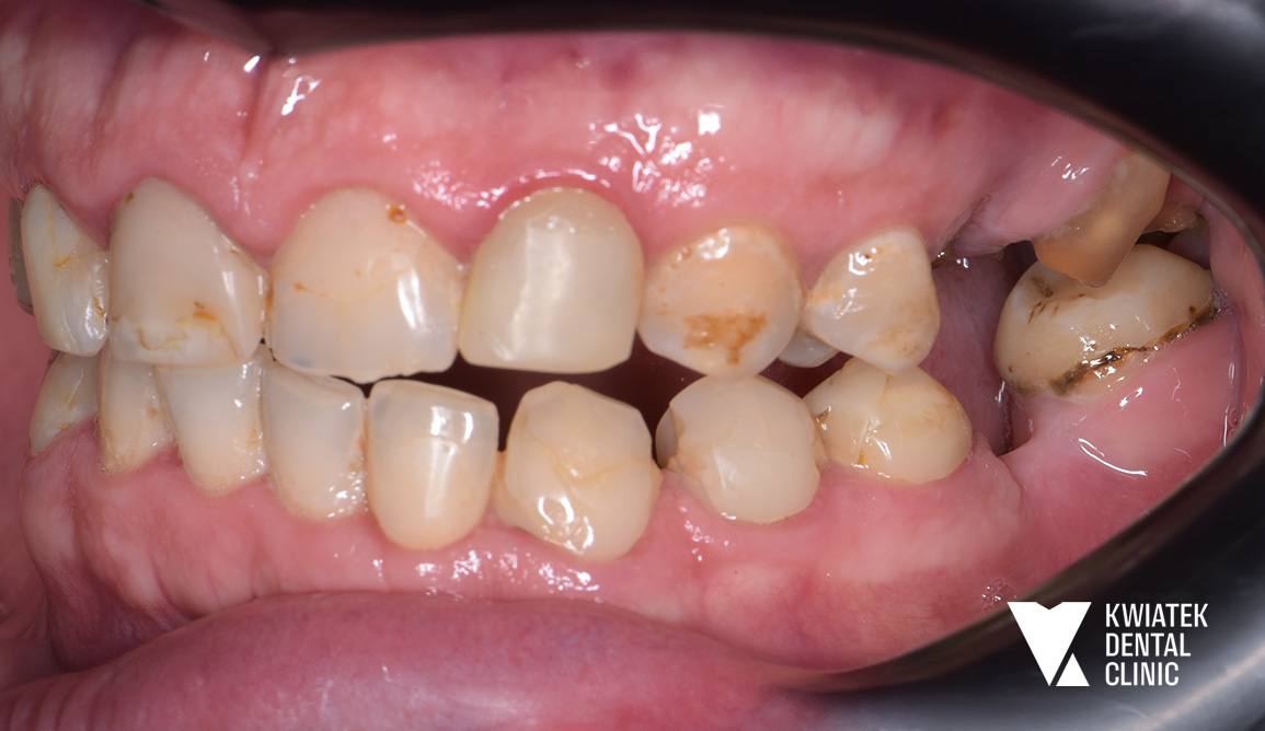
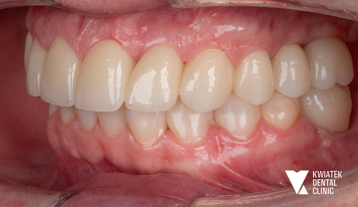
Kluczowy ząb, kluczowa zmiana - Estetyka premium - Re-endo i korona pełnoceramiczna zęba 11 w roli głównej

Nicolaas to nasz stały Pacjent – zawsze uśmiechnięty, serdeczny i niezwykle wdzięczny, a praca z nim to czysta przyjemność. Jednym z ważnych etapów jego kompleksowego leczenia okazał się problematyczny siekacz 11, który wyraźnie zaburzał harmonię jego uśmiechu i wymagał wyjątkowo precyzyjnej interwencji. Dzięki zaawansowanemu leczeniu pod mikroskopem oraz perfekcyjnie zaprojektowanej odbudowie protetycznej ten kluczowy ząb odzyskał swoją funkcję i naturalne piękno, a uśmiech Pacjenta znów prezentuje się harmonijnie i zdrowo.     

PRZED
PO
PRZED
PO

Wieloetapowa rekonstrukcja uśmiechu w leczeniu interdyscyplinarnym

Pacjentka zgłosiła się do naszej kliniki z silnym bólem zębów przednich oraz zaawansowanym stanem zapalnym w obrębie kości szczęki. Diagnostyka wykazała torbiel zębopochodną wymagającą leczenia chirurgicznego oraz liczne problemy stomatologiczne obejmujące zarówno zęby, jak i zgryz. Dzięki kompleksowemu leczeniu obejmującemu chirurgię, implantologię, leczenie zachowawcze, protetykę i estetyczną rekonstrukcję udało się przywrócić Pacjentce zdrowie jamy ustnej, prawidłową funkcję zgryzu oraz naturalną estetykę uśmiechu.

PRZED
PO
PRZED
PO

Od diagnostyki do estetyki - kompleksowa terapia stomatologiczna

Pacjentka zgłosiła się na pierwszą konsultację stomatologiczną z licznymi wypełnieniami wymagającymi wymiany oraz ogniskami próchnicy. Leczenie rozpoczęto od kompleksowej diagnostyki i higienizacji, następnie przeprowadzono leczenie zachowawcze, odbudowę protetyczną zęba oraz zabiegi chirurgiczne, przygotowujące do dalszej terapii. Całość została zwieńczona leczeniem ortodontycznym aparatem nakładkowym oraz wybielaniem zębów, dzięki czemu uzyskano zdrowy, harmonijny i naturalnie estetyczny uśmiech.

PRZED
PO
PRZED
PO

Luksusowa rehabilitacja uśmiechu w standardzie Kwiatek Dental Clinic

Pacjent zgłosił się z zaawansowaną destrukcją uzębienia, utratą zębów oraz poważnymi zaburzeniami funkcji żucia i estetyki twarzy. Wieloetapowe leczenie objęło kompleksową rehabilitację całej jamy ustnej od chirurgii i implantologii przez leczenie zachowawcze i endodontyczne po zaawansowaną protetykę i periodontologię. Efektem jest stabilne fizjologiczne zwarcie, zdrowe tkanki oraz naturalny harmonijny uśmiech, który całkowicie odmienił komfort życia Pacjenta.

PRZED
PO
PRZED
PO

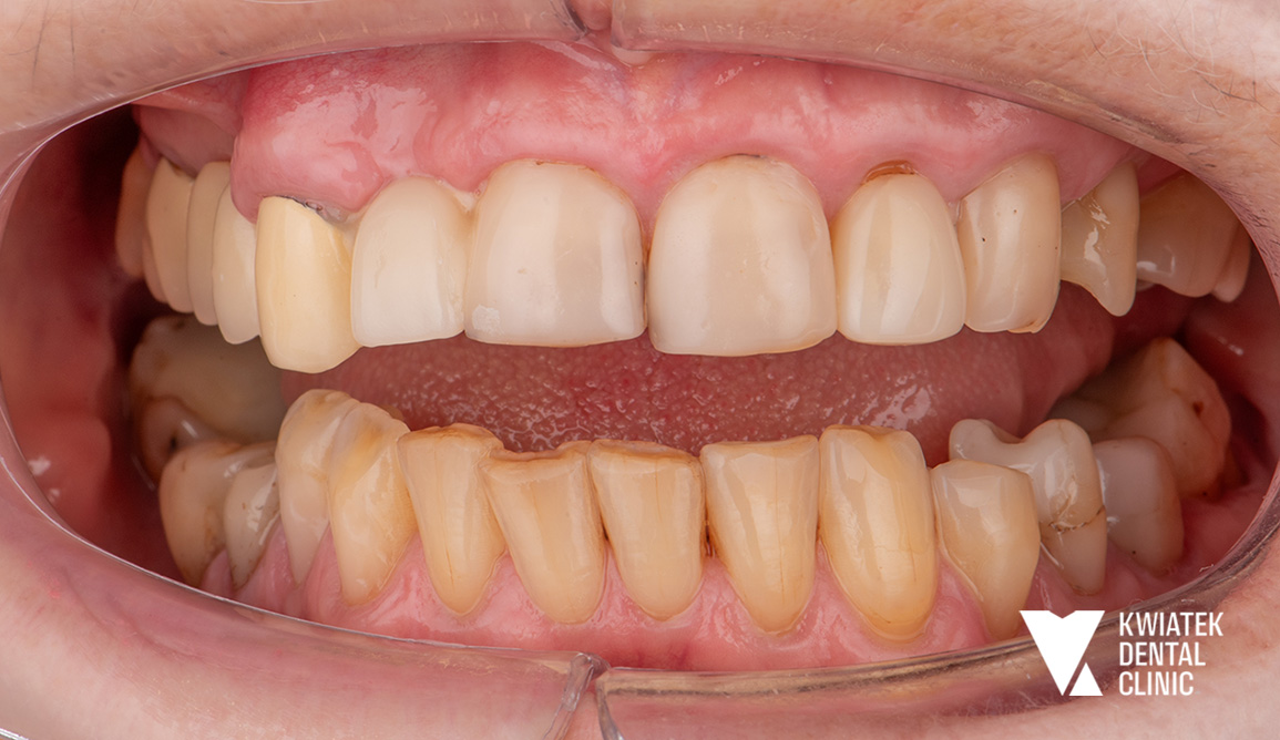
Luksus dyskretnej ortodoncji oparty na zaawansowanej technologii nakładkowej

Pacjentka zgłosiła się do kliniki z potrzebą kompleksowej poprawy zarówno funkcji zgryzu, jak i estetyki uśmiechu. W badaniu stwierdzono zgryz krzyżowy, stłoczenia zębów oraz liczne problemy wymagające leczenia zachowawczego i protetycznego, co wymagało wieloetapowego, interdyscyplinarnego podejścia. Terapię poprzedziło staranne przygotowanie jamy ustnej obejmujące ekstrakcję zębów mądrości, profesjonalną higienizację oraz odbudowę osłabionych struktur. Następnie wdrożono zaawansowane leczenie ortodontyczne z wykorzystaniem nowoczesnego systemu nakładkowego. Rezultatem jest harmonijny, stabilny zgryz, idealnie ukształtowane łuki zębowe oraz wyraźnie odmłodzony, jasny uśmiech, podkreślony profesjonalnym wybielaniem.

PRZED
PO
PRZED
PO

Implant zamiast kompromisu - funkcja i estetyka na najwyższym poziomie

Pacjentka przez lata użytkowała starą pracę protetyczną w odcinku 16 do 14, która z czasem przestała spełniać zarówno funkcję estetyczną, jak i funkcjonalną. Po szczegółowej diagnostyce zaproponowano najnowocześniejsze i najbardziej przewidywalne rozwiązanie w postaci implantacji w miejscu brakującego zęba 15 oraz wykonanie nowych koron ceramicznych. Efektem jest trwała, komfortowa i naturalnie wyglądająca odbudowa, przywracająca prawidłowe warunki żucia i harmonię uśmiechu.

Haben Sie Fragen?
Möchten Sie einen Termin vereinbaren?
Rufen Sie uns an